Have any questions?
+44 1234 567 890
ENDOPROTHETIK, GONARTHROSE
Die Arthrose des Kniegelenkes (Gonarthrose) ist in den meisten Fällen verschleißbedingt. Im Rahmen einer Rheumaerkrankung führt eine anhaltende Entzündungsreaktion der Gelenkschleimhaut zu einer Knorpelschädigung. Bein-Achsfehlstellungen und Gewichtsbelastung können das Fortschreiten eines Gelenkverschleißes begünstigen.
Die Gonarthrose kann aber auch durch einen Unfall (posttraumatische Gonarthrose) entstehen. Seltenere Ursachen für einen Gelenkverschleiß sind Durchblutungsstörung und Infektion. Auch ein Tumor kann das Kniegelenk betreffen und zu einer Zerstörung des Gelenkes führen. Die Behandlung der Arthrose erfolgt stadiengerecht. Sind alle Möglichkeiten, das natürliche Gelenk zu erhalten, ausgeschöpft (siehe auch Behandlungsschwerpunkte „Knie-Knorpelchirurgie“ und „Allgemeine Arthrosetherapie“), kann die geschädigte Gelenkfläche durch ein Kunstgelenk ersetzt werden. Der femurale Anteil (Oberschenkel-Anteil) des neuen Kniegelenkes besteht in der Regel aus Metall. Der tibiale Anteil (Unterschenkel-Anteil) besteht aus einem hoch verdichteten, sehr beständigem Kunststoff. Er wird mit einem Metallimplantat im Unterschenkelknochen verankert. Es stehen verschiedene Implantate zur Verfügung, die je nach Ausmaß der Gelenkschädigung zum Einsatz kommen. Alle Implantate sind im Falle einer Metallallergie auch nickelfrei vorhanden. Vor der Operation erfolgt eine genaue Vermessung des Kniegelenkes anhand digital angefertigter Röntgenbilder.
PROTHESENPLANUNG

Die Prothesenimplantation wird anhand eines digitalen Röntgenbildes geplant (links), das Röntgenbild rechts zeigt die zugehörige Implantatlage eines bikondylären Oberflächenersatzes nach der Operation. (Bilder: Orthopädie)
Das Klinikum Bielefeld hat erstes Krankenhaus in NRW die roboterarmassistierte Operationstechnologie Mako® für Kniegelenksersatz-Operationen eingeführt. Mako gehört seit 2007 weltweit zu den führenden Roboterarmsystemen bei der hochpräzisen Implantation von Hüft- und Knieprothesen. Weltweit arbeiten bereits mehr als 500 Kliniken mit diesem System und es wurden über 150.000 Gelenkersatzoperationen mit Mako durchgeführt.
Der Roboterarm selbst operiert nicht. Vielmehr ist Mako ein sehr präzises Instrument, das die komplexe Arbeit des Operateurs unterstützt, verbessert und verfeinert. Der Operateur führt den Eingriff selbst durch, der Mako Roboterarm wird dabei vom Operateur gesteuert und bedient.
Jede Mako Operation ist personalisiert und eigens auf die Patientin oder den Patienten zugeschnitten. Anhand einer Computertomographie (CT) vor der Operation erstellt Mako ein 3D-Modell des Patientengelenks, damit der Operateur die Anatomie analysieren und einen maßgeschneiderten OP-Plan bereits vor der OP erstellen kann. Zu Beginn der OP wird die natürliche Bandspannung des Gelenkes gemessen und in die Feinplanung der Prothesenposition einbezogen. Danach erfolgt die Operation, so dass die Bänder über den gesamten Bewegungsablauf perfekt gespannt sind. Klinische Studien und unabhängige Prothesenregisterdaten zeigen bessere funktionelle Ergebnisse und niedrigere Revisionsraten für diese Patientinnen und Patienten.
Die Vorteile für Patientinnen und Patienten sind:
- personalisierte Operation
- bislang unerreichte chirurgische Flexibilität während des Eingriffs ermöglicht dem Operateur, bei Bedarf Feinanpassungen vorzunehmen
- präziser und genauer chirurgischer Eingriff
- kürzere Genesungszeit mit weniger postoperativen Schmerzen
- langlebigere Ergebnisse durch bewährte Prothesenmaterialien von höchster Qualität.
Hier finden Sie den Flyer mit allen Informationen zu Mako®.
Die Orthopädische Klinik ist Teil des Zentrums für roboterassistierte Chirurgie OWL.
PROTHESENTYPEN
Ist nur der innere Anteil des Kniegelenkes betroffen, kann unter gewissen Voraussetzungen auch nur dieser durch das Implantat ersetzt werden. Ein wesentlicher Vorteil ist die sehr gute Beweglichkeit bei weitgehender Erhaltung des natürlichen Bewegungsablaufes des Knies.
In gewissen Fällen kann anhand einer Computertomografie eine Knieprothese individuell angefertigt werden. Sonderanfertigungen können vor allem dann sinnvoll sein, wenn der Gelenkschaden zu groß für einen unikondylären Oberflächenersatz und zu gering für eine Totalendoprothese ist. Hiermit ist z.B. auch ein maßgeschneiderter Ersatz des Gleitlagers möglich.
Bei einer Arthrose, die das gesamte Knie betrifft, wird diese Prothese verwendet. Optional kann auch die Rückfläche der Kniescheibe ersetzt werden. Eine wesentliche Voraussetzung für diesen Prothesentyp ist eine noch ausreichende Stabilität des Gelenkes.
Ist das Kniegelenk sehr instabil (locker) oder besteht bereits ein größerer Knochendefekt oder eine sehr ausgeprägte Achsfehlstellung, kann mit diesem Prothesentyp wieder ein belastungsfähiges Gelenk hergestellt werden. Die Prothese übernimmt durch einen Kopplungsmechanismus die Funktion der nicht mehr funktionstüchtigen Bänder. Bei größeren Knochendefekten kann die Prothese auch durch einen modularen Aufbau der Anatomie optimal angepasst werden.
Bei sehr großen Knochendefekten, wie auch nach Entfernung gelenknaher Knochentumoren kann mit dieser speziellen Prothese wieder eine gewisse Funktion und Belastungsfähigkeit hergestellt werden. (Siehe auch Kapitel „Tumororthopädie“)
Trotz guter Standzeiten der Prothesen, lässt sich ein Wechsel des Implantates nicht immer vermeiden. Der häufigste Grund hierfür ist eine Lockerung der Prothese. Diese kann sich durch Schmerzen im Ober- und Unterschenkel bemerkbar machen. Die Lockerung führt zu einem zunehmenden Knochenverbrauch. Auch eine Bandinstabilität kann eine erneute Operation erforderlich machen. Hierbei muss nicht zwangsweise die gesamte Prothese gewechselt werden. Ist z.B. nur der Kunststoffanteil verschlissen, kann er ausgetauscht werden. Auch ein Teilwechsel z.B. nur des Unterschenkelanteiles der Prothese kann ausreichend sein, da nicht immer die gesamte Prothese gelockert ist. Modulare Komponenten stehen für diesen Fall zur Verfügung. Protheseninfektionen (siehe auch "septische Orthopädie") machen gegenüber einfachen Lockerungen eine längere Behandlung erforderlich. In der Regel wird zunächst das alte Implantat entfernt und durch einen Antibiotika-haltigen Platzhalter aus Knochenzement ersetzt. Durch eine mikrobiologische Untersuchung wird der Keim identifiziert und die gezielte Antibiotikatherapie durchgeführt. Nach ca. 6 Wochen Therapie wird eine erneute mikrobiologische Untersuchung durchgeführt. Ist diese negativ, kann die Implantation der neuen Prothese folgen. Dieses Vorgehen nennt man auch zweizeitigen Prothesenwechsel, da zwei Operationen erforderlich sind. Es ist langwieriger, bietet gegenüber dem einzeitigen Wechsel aber eine größere Sicherheit hinsichtlich der Keimfreiheit und wird daher an unserer Klinik favorisiert. In seltenen Fällen kann eine Versteifung (Arthrodese) des Kniegelenkes erforderlich sein.
FALLBEISPIEL

"Mein rechtes Knie schmerzte so stark trotz Morphium Pflaster, dass ich nicht mehr Traktor und Trimm Dich Rad fahren konnte, was ich täglich machte. Ich hatte Angst vor der Operation wegen meines hohen Alters (92). Nach Vorstellung im Klinikum Bielefeld habe ich mich gut informiert gefühlt. Die Operation und das Danach habe ich mir schwieriger vorgestellt. Ich konnte gleich nach der Operation wieder aufstehen. Das ging wirklich gut. Nach der Reha bin ich jetzt wieder fit.“
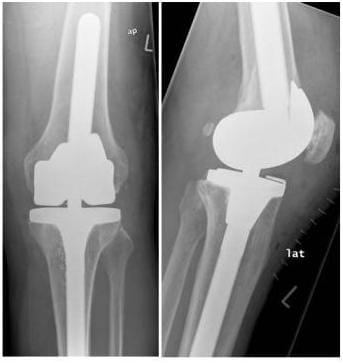
Fortgeschrittene O-Bein-Arthrose rechts mit knöchernem Defekt im innenseitigen Schienbeinbereich und 20° Streckdefizit.
Versorgung mit Roboter assistierter Knieprothese mit Ausgleich des knöchernen Defektes durch Titan-Stufe auf der Innenseite.
Digitale Prothesenplanung
Postoperatives Resultat nach Versorgung mit Roboter assistierter Knieprothese mit Ausgleich des knöchernen Defektes durch Titan-Stufe auf der Innenseite.