Have any questions?
+44 1234 567 890
RADIUSFRAKTUR
Die Speiche (Radius) ist der daumenseitige Unterarmknochen, der hauptsächlich das Handgelenk trägt. Bei einem Sturz nach vorn versuchen wir uns mit der ausgestreckten Hand abzufangen. Dies ist die häufigste Beschreibung für den Unfallhergang.
Der Bruch des Radius gehört zu den häufigsten Brüchen und kann in allen Altersstufen auftreten. Zahlenmäßig sind die älteren Patient*innen in unserem Krankengut am stärksten vertreten.
Typisch ist die Schwellung und der Schmerz mit einer Bewegungseinschränkung des betroffenen Handgelenkes. Oft stützen Patient*innen die betroffene Hand mit der Gegenseite, wenn sie in die Notaufnahme kommen.
Es ist wichtig, den Typ des Bruches zu klassifizieren, da je nach Charakter des Bruches unterschiedliche Therapieansätze empfohlen werden. Wir unterscheiden stark verschobene, von kaum verschobenen Brüchen. Wichtig in der Beurteilung ist auch die Richtung der Verschiebung, die nach streck- oder beugeseitig erfolgen kann. Zu unterscheiden sind zudem Brüche, die die Gelenkfläche betreffen, von Brüchen außerhalb der Gelenkfläche.
Grundlage der Beurteilung und Therapie stellen konventionelle Röntgenbilder und die klinische Untersuchung (Schwellungsgrad, Nervenbeteiligung, zusätzliche Wunden) dar. Bei unklarem Bild und nahezu in allen Fällen mit Gelenkbeteiligung legen wir zusätzlich eine CT-Untersuchung des Handgelenkes an.
Ziel der Behandlung ist es, die Frakturanteile möglichst in ihre anatomische Stellung zurückzubringen und in dieser Stellung bis zur Heilung des Knochenbruches zu halten. Sofern zusätzliche Verletzungen an der Handwurzel, z.B. Bandrisse oder Handwurzelknochenbrüche vorliegen, müssen diese in die Therapie einbezogen werden.
Bei den meisten Handgelenksbrüchen werden mittlere Schmerzen für einige Tage bis zu zwei bis drei Wochen empfunden. Kühlung, Hochlagerung und einfachere Schmerzmedikamente reichen in vielen Fällen schon aus.
Eine häufige Medikamentenkombination ist Ibuprofen und Novaminsulfon, die in Kombination, insbesondere am Anfang der Behandlung, deutlich wirksamer sind als die Einzelsubstanz allein. Bei sehr starken Schmerzen kann die Gabe eines Opioids notwendig sein.
Achten Sie darauf, bei rückläufigen Schmerzen die Medikation wieder zurückzufahren.
Wenn der Bruch kaum verschoben ist, kann eine Gipsbehandlung bis zur Knochenbruchheilung angelegt werden. Diese dauert meist 5 -6 Wochen.
Wenn der Bruch verschoben ist, sollte zunächst eine geschlossene Einrichtung des Bruches durchgeführt werden. Anschließend kann ein Gips angelegt werden. Je nach Repositionsergebnis und Bruchtyp entscheiden wir dann über die weitere Therapie.
Bei der Gipsbehandlung muss beachtet werden, dass nach 1-2 Wochen mit abnehmender Schwellung der Gips locker wird. Um eine adequate Schienung weiter zu gewährleisten, sollte dann eine neue Gipsruhigstellung angelegt werden. Sehr gebräuchlich sind, wie auch im Klinikum Rosenhöhe, „Kunststoffgipse“.
Im Verlauf sollten Röntgenkontrollen angefertigt werden, um die Stellung des Bruches und die Heilung zu überprüfen. Bei nachfolgender Verschiebung trotz Gipsruhigstellung muss die operative Therapie überdacht werden.
Gipsschienen sollten trocken gehalten werden, so dass keine Feuchtigkeit unter den Gips gerät. Diese kann zu Scheuerstellen auf der Haut unter dem Gips führen. Plastiktüten, die über die Schiene beim Duschen gezogen werden, können hier hilfreich sein. Sollte doch einmal Feuchtigkeit eingedrungen sein, ist ein Fön mit kaltem Luftstrom hilfreich.
Ist der Bruch sehr stark verschoben oder lässt sich nicht in der Gipsschiene ausreichend halten, sollte eine operative Einrichtung des Bruches durchgeführt werden. Abhängig von der Fraktur werden die eingerichteten Bruchanteile dann mit Platten, Schrauben seltener mit Drähten oder einem äußerlichen Gestänge stabilisiert.
In den meisten Fällen wird ein beugeseitiger Handgelenkszugang angelegt. Ziel der Operation ist die glatte Rekonstruktion der Gelenkfläche und die achsengerechte Ausrichtung der Gelenkfläche zum Schaft gegebenenfalls mit Rekonstruktion der Elle (distale Unterarmfraktur). Spezielle anatomisch vorgeformte Plattenimplantate, die meist von beugeseitig aus eingebracht werden, stellen aktuell das häufigste Vorgehen dar.
In der Nachbehandlung nach Operation kann das Handgelenk nach kurzfristiger Ruhe über einige Tage (Rückgang des Schmerzes/Abschwellen) bald wieder bewegt werden. Eine Belastung des Handgelenkes durch Tragen oder Abstützen sollte noch nicht durchgeführt werden. Hierzu ist die knöcherne Durchbauung, die meist 6 Wochen braucht, abzuwarten.
Die funktionelle Behandlung nach Gips oder operativer Behandlung zielt auf eine Verbesserung der Beweglichkeit des Handgelenkes und der Hand ab, sodass wieder alle Greifformen des Alltags ausgeführt werden können.
Nahezu alle Patient*innen haben über einen gewissen Zeitraum von einigen Monaten eine Handgelenkssteifigkeit. Diese nimmt im Verlauf der ersten zwei Monate nach Operation bzw. Gipsabnahme meist deutlich ab. Weitere Verbesserungen werden im Verlauf schrittweise über ein bis zwei Jahre zu erwarten sein. Eine Vollbelastung des Handgelenkes kann meist nach 3-6 Monaten aufgenommen werden.

So macht die Schreibtischarbeit wieder Spaß. Ich hatte mir einen Handgelenksbruch zugezogen und war bereits anderenorts operiert worden. Mein nachbehandelnder Arzt war dann nicht zufrieden mit dem Bild und schickte mich zu Dr. Schildknecht in das Klinikum Rosenhöhe. Wir haben das Problem besprochen und eine zweite Operation vereinbart. Ich bin sehr zufrieden und kann wieder gut arbeiten.
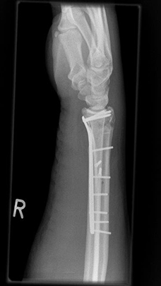
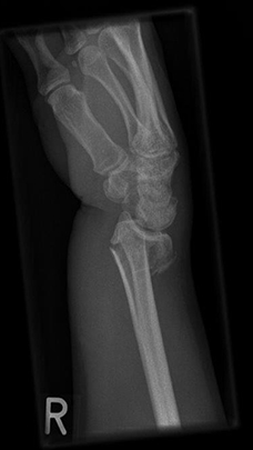
Rechtshändiger Patient im „Unruhestand“ mit regelmäßiger Schreibtischarbeit wurde auswärtig mit volarer Plattenosteosynthese bei einer kleinteiligen Radiusfraktur versorgt. Das Röntgenbild zeigte eine anhaltende beugeseitige Verschiebung der Handwurzel. Die beugeseitige Knochenlippe war über die liegende Platte hinweg verschoben. Intraoperativ wurde ein Wechsel der Platte auf ein der Situation angepasstes Implantat mit einstellen des Gelenkes durchgeführt. Man erzielte ein gutes funktionelles Ausheilungsergebnis.

Ich bin mit meinem Mountainbike gestürzt und das sah ziemlich übel aus. Der Unterarm stand ganz schräg. Ich bin dann ganz schnell operiert worden. Mit meinem Mountainbike bin ich wieder unterwegs und merke manchmal noch die Platte bei Wetterumschwung. Aber ich kann Liegestütze machen und den Arm wieder voll einsetzen.
Komplexe rechtsseitige Unterarm-Handgelenksfraktur eines rechtshändigen jungen Mannes. Nach CT-Untersuchung offene Reposition und Rekonstruktion der komplexen Fraktursituation mit angepasster Plattenlänge. Sehr gute Funktion im weiteren Verlauf nach achsengerechter Ausheilung.