Have any questions?
+44 1234 567 890
BRÜCHE UM DAS ELLENBOGENGELENK
Zu den Brüchen um das Ellenbogengelenk herum zählen der Ellenhakenbruch (Olecranonfraktur) , Speichenköpfchenbrüche und Brüche der Oberarmrolle. Wir behandeln sowohl kindliche Verletzungen als auch Verletzungen des Erwachsenen. Grundsätzlich ist das Ziel eine möglichst frühe Beweglichkeit des Gelenkes durch die Behandlung zu ermöglichen, um einer Einsteifung des Gelenkes entgegenzuwirken. Komplizierte Frakturen können zur Zerstörung der Gelenkflächen und Instabilität führen. Zur operativen Versorgung sind häufig Spezialimplantate erforderlich, die sich an die zierlichen Knochen und besonderen anatomischen Gegebenheiten des Ellenbogengelenkes anpassen lassen.
In seltenen Fällen lässt sich eine Rekonstruktion der knöchernen Verletzung nicht bewerkstelligen und es kommen künstliche Gelenkanteile oder ein komplettes künstliches Ellenbogengelenk zum Einsatz.

Die Verletzung:
„Was für eine blöde Verletzung. Einfach kann jeder. Ich kann jetzt aber wieder Schreiben und meinen Arm einsetzen. Vielen Dank an das Team der Rosenhöhe.“
57 Jahre alter rechtshändiger Mann mit einer Essex Lopresti-Verletzung. Bei dieser Verletzung kam es durch einen Sturz zu einem Bruch des Speichenköpfchens. Durch die Wucht auf das Handgelenk wurde die Speiche gegenüber der Elle nach ellenbogenwärts verschoben und es kam zu einer Zerreißung der Bandverbindung zwischen den beiden Unterarmknochen über die ganze Unterarmlänge. In den Unfallaufnahmen lässt sich dies gut am Handgelenk an der Rückversetzung der Speiche erkennen. Diese komplizierte Verletzung ist zum Glück selten. Essentiell ist, die korrekte Diagnose zu stellen und eine stabile Wiederherstellung der Längenverhältnisse zu erreichen. Um die Heilung der Bandverbindung zu ermöglichen, muss auch handgelenkseitig eine korrekte Einstellung des Gelenkes zwischen Elle und Speiche erfolgen.
Die Versorgung:
Wir führten eine Rekonstruktion des Speichenköpfchens mit einer zementfreien Prothese sowie eine Bandrekonstruktion am Handgelenk mit temporärer K-Draht Fixation durch. Im weiteren Verlauf konnte nach ca. 6 Monaten eine alltagstaugliche Funktion mit wenig Schmerzen erzielt werden.
Speichenköpfchentruemmerfraktur mit Verschiebung des gesamten Speichenknochens nach ellenbogenwärts bei Essex Lopresti-Verletzung
Längendifferenz am Handgelenk zwischen Elle und Speiche als Folge der Bandzerreissung bei Essex Lopresti-Verletzung

Die Verletzung:
Im Juni 2019 zog ich mir auf der linken Seite eine Ellenbogenverletzung zu. Das Gelenk war ausgekugelt und es tat richtig weh. Das Team an der Rosenhöhe hat das Gelenk dann wieder eingerenkt und das Gelenk bei der anschließenden Operation so stabilisiert, dass ich heute wieder gut zurecht komme.
Die Versorgung:
Ellenbogenluxationsverletzung mit Fraktur des Processus Coronoideus. Operative Stabilisation des Knochenfragmentes mit spezieller Platte.
ELLENBOGENLUXATIONSVERLETZUNG

Die Verletzung:
Da bin ich ganz schön hingefallen. Der Ellenbogen tat ziemlich weh und ich konnte den gar nicht mehr bewegen. Auf der Rosenhöhe haben die den gut wieder hinbekommen. Ich habe keine Schmerzen und komme mit dem Arm gut zurecht. Das künstliche Teil merke ich gar nicht.
Die Versorgung:
Schwere Ellenbogenluxationsverletzung (11/2019) links mit Brüchen des Olecranons und Speichenköpfchens sowie völliger Verrenkung des Gelenkes. In einer ersten Operation wurde notfallmäßig das Gelenk eingerichtet und der Ellenhaken mittels Doppelplatte stabilisiert. Intraoperativ wurde der Versuch einer Speichenköpfchenrekonstruktion mit Platte und Schrauben unternommen aber bei instabilen Verhältnissen frühzeitig in einer zweiten Operation eine zementfreie monopolare Speichenköpchenprothese mit radialer Bandstabilisation eingesetzt. Nach 6 Monaten besteht eine annähernd freie Beweglichkeit bandstabil ohne Schmerzen.
SCHWERE ELLENBOGENLUXATIONSVERLETZUNG

Die Verletzung:
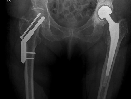
„Ich bin ganz böse auf die rechte Seite gefallen und habe mir den Ellenbogen und die Hüfte gebrochen. Die Hüfte haben Sie sofort operiert. Den Ellenbogen habe ich ein paar Tage später operiert bekommen. Jetzt komme ich schon wieder ganz gut zurecht. Ich will wieder zurück nach Hause und dort wie vor dem Unfall für mich sorgen können.“
Die Versorgung:
Über 80-jährige Patientin mit kaum verschobener Schenkelhalsfraktur rechts wurde unmittelbar nach Unfall und Einlieferung mit einer hüftkopferhaltenden Osteosynthese (Dynamische Hüftschraube) versorgt. Die Speichenköpfchentrümmerfraktur wurde mit einem künstlichen Speichenköpfchen behandelt. Es wurde hier eine zementierte Variante gewählt. Zweieinhalb Wochen nach Sturz ist die Patientin selbständig am Gehstock noch in der Abteilung für Geriatrie mobilisiert und setzt Ihren Ellenbogen bei guter Beweglichkeit bereits in den alltäglichen Verrichtungen ein.
VIDEO DER PATIENTIN 2,5 WOCHEN NACH DER OP

Die Verletzung:
„Ich bin im Urlaub im Oktober 2021 an der Nordseeküste gestürzt. Nach der ersten Behandlung dort wurde am Klinikum Bielefeld - Rosenhöhe dann eine Schichtbilduntersuchung durchgeführt und mit einer ambulanten Operation das gebrochene Speichenköpfchen verschraubt. Es hat ca. 2 Monate gebraucht um mein Ellenbogengelenk wieder voll beweglich zu bekommen.
Die Versorgung:
56-jährige Frau mit rechtsseitiger Speichenköpfchenfraktur und Gelenkstufenbildung. Intraoperativ deutliche Instabilität des Fragmentes. Verschraubung mit versenkten Schrauben (SpeedTip). Unkomplizierter postoperativer Verlauf mit sehr schönem Ergebnis bei engagierter Patientin.